ICD 10 Codes For Pterygoid Plate Fractures

B.Jadlamracingmodels 75 views
ICD 10 Codes For Pterygoid Plate Fractures

Understanding ICD 10 Codes for Pterygoid Plate Fractures

Hey everyone! Today, we’re diving deep into a super specific, but incredibly important topic for medical coders and healthcare professionals: fracture of pterygoid plate ICD 10 . You know, those tricky little bony projections at the back of your skull that can be a real pain when they break? Getting the right ICD-10 code is crucial for accurate billing, proper patient care documentation, and ensuring that insurance claims go through smoothly. It might sound a bit technical, but trust me, understanding these codes can make a huge difference in the day-to-day operations of a medical practice or hospital. We’re going to break down exactly what the pterygoid plate is, why it’s important, and most importantly, how to nail down the correct ICD-10 codes when a fracture occurs. So, grab your coffee, settle in, and let’s get our coding game strong!

What Exactly is the Pterygoid Plate?

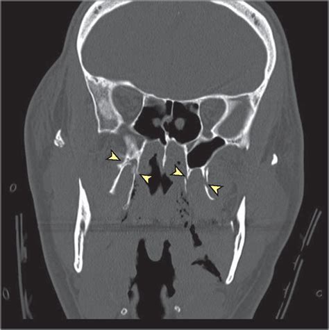
Before we even think about ICD-10 codes, let’s get a solid grasp on what we’re even talking about. The pterygoid plates, guys, are essentially two thin, wing-like bony projections that extend downwards from the sphenoid bone, which is located at the base of your skull. Think of them as a crucial part of the posterior and lateral walls of the nasal cavity and the infratemporal fossa. They’re pretty deep in there, which means fractures to this area aren’t exactly common sniffles; they usually result from significant trauma. The pterygoid plates have several important functions. They serve as attachment points for muscles crucial for chewing (the pterygoid muscles, surprise surprise!) and also play a role in the movement of the soft palate. Because of their location, injuries to the pterygoid plates can be associated with a range of other facial and cranial injuries, making diagnosis and coding a bit more complex. It’s not just about the plate itself; it’s about understanding the surrounding structures and potential associated trauma. This area is also rich in blood vessels and nerves, so any fracture here needs careful evaluation by medical professionals to rule out more serious complications. Understanding the anatomy is key to appreciating the significance of a fracture here and why precise coding is so vital. It’s like knowing the foundation of a building before you start fixing the walls!

Why Accurate ICD-10 Coding for Pterygoid Plate Fractures Matters

Alright, so why all the fuss about fracture of pterygoid plate ICD 10 ? Well, it boils down to a few really important things, guys. First off, accuracy in medical coding is the bedrock of the entire healthcare billing system. When a patient has a fracture of the pterygoid plate, the ICD-10 code assigned tells the insurance company exactly what condition was diagnosed. This code is the key that unlocks payment for the services rendered by doctors, radiologists, surgeons, and hospitals. If the code is wrong, or if it’s too vague, the claim could be denied, leading to delays in payment, administrative headaches for the practice, and potentially surprise bills for the patient. That’s nobody’s favorite outcome, right? Beyond billing, accurate coding ensures proper patient record-keeping . Think about it: these codes create a standardized way to track diseases and injuries across populations. For a pterygoid plate fracture, the specific ICD-10 code can indicate whether it’s displaced or non-displaced, open or closed, and potentially even the cause of the fracture (like a car accident or a fall). This detailed information is invaluable for tracking patient outcomes, conducting medical research, and even for public health surveillance. Furthermore, precise coding helps in managing patient care . When a physician reviews a patient’s chart, the ICD-10 codes provide a quick, concise summary of their medical history. For complex cases involving facial trauma, having the correct codes for each injury, including a pterygoid plate fracture, helps the healthcare team understand the full extent of the patient’s condition and plan treatment accordingly. It’s all about clear communication and ensuring everyone involved in the patient’s care has the right information. So, yeah, while it might seem like just a bunch of letters and numbers, these ICD-10 codes are powerful tools that underpin the functionality and integrity of our healthcare system. Getting the fracture of pterygoid plate ICD 10 right is a big deal!

Now for the nitty-gritty: finding the actual fracture of pterygoid plate ICD 10 codes. The ICD-10-CM (International Classification of Diseases, Tenth Revision, Clinical Modification) system is designed to be incredibly detailed, which is great for specificity but can sometimes feel like navigating a maze. When it comes to fractures of the pterygoid plate, these aren’t typically listed as a standalone, distinct diagnosis code. Instead, they usually fall under broader categories related to skull and facial bone fractures. This is where clinical documentation becomes super important, guys. The physician’s notes need to be specific enough to guide the coder to the most appropriate code. Generally, you’ll be looking at codes within the S02.- series , which covers fractures of the skull and face. Specifically, codes related to other facial bone fractures might be relevant. For instance, S02.8 covers ‘Other fractures of facial bones’. This code might be used if the pterygoid plate fracture is documented but doesn’t fit neatly into more specific facial bone fracture codes. However, the key is to look for further specificity if available. Sometimes, a pterygoid plate fracture might be documented alongside other injuries, and the coder needs to determine if a more specific code for, say, a temporal bone fracture (which can involve the pterygoid structures) or a fracture of the base of the skull applies. It’s crucial to always refer to the official ICD-10-CM coding guidelines and the most up-to-date code set , as these can be updated annually. Coders often use coding software and lookup tools, but understanding the underlying anatomical structures and the potential codes is paramount. Remember, the goal is to find the code that most accurately reflects the physician’s diagnosis based on the documentation. If the documentation clearly states ‘fracture of the pterygoid plate,’ and there isn’t a more specific code that encompasses this, then a code like S02.8 might be the closest fit, possibly with additional codes to describe associated conditions or complications. Always code to the highest level of specificity documented by the provider . This might involve looking at subcategories within S02.8 if they offer more detail related to the location or type of fracture. Don’t forget to consider external causes of injury codes (V, W, X, Y codes) and status codes (Z codes) as well, as these provide a complete picture of the patient’s encounter. For fracture of pterygoid plate ICD 10 , thorough documentation is your best friend!

Specific Scenarios and Coding Considerations

Let’s get real for a second, guys, and talk about some specific scenarios you might encounter when dealing with fracture of pterygoid plate ICD 10 . Because, as we’ve touched upon, these fractures rarely happen in isolation. They often occur as part of more complex facial trauma. For example, a severe blow to the jaw or the side of the head could result in a pterygoid plate fracture along with other facial bone injuries. In such cases, the coder needs to identify all documented fractures and assign appropriate ICD-10-CM codes for each. You might be coding for a zygomatic arch fracture, a mandibular fracture, and the pterygoid plate fracture. The key here is to sequence the codes correctly according to ICD-10-CM guidelines, often listing the most significant condition first. Another common consideration is the type of fracture : is it displaced or non-displaced? Open or closed? The ICD-10-CM system often has different codes or memerlukan additional characters to denote these specifics. For instance, within the S02.- series, you’ll find options to specify displacement or whether the fracture is compound (open). If the documentation is clear about these details, make sure to capture them in the code. Think about associated injuries . A pterygoid plate fracture might be accompanied by temporomandibular joint (TMJ) dysfunction, cranial nerve palsies (like those affecting eye movement or facial sensation), or even cerebrospinal fluid (CSF) leaks if the fracture extends superiorly. These associated conditions should also be coded if they are treated or evaluated during the encounter, as they contribute to the overall severity and complexity of the patient’s condition. For example, if a CSF leak is present, you’d code that separately. You also need to consider the cause of the injury . Was it a motor vehicle accident? A fall? An assault? The external cause codes (V00-Y99) are essential for providing a complete picture and are often required for quality reporting and research. So, for a pterygoid plate fracture resulting from a car crash, you’d have the fracture code plus the V-code for the MVA. Finally, pay close attention to provider documentation . If the physician documents ‘possible’ or ‘suspected’ fracture, you generally cannot code it definitively. You need a confirmed diagnosis. However, if the documentation is ambiguous or lacks detail regarding the pterygoid plate fracture, it’s the coder’s responsibility to query the physician for clarification. This collaboration is crucial for ensuring accurate coding of fracture of pterygoid plate ICD 10 . Don’t guess; clarify! It’s all about being thorough and precise to reflect the patient’s clinical picture accurately.

Conclusion: Mastering the Codes for Better Patient Care

So there you have it, guys! We’ve journeyed through the world of fracture of pterygoid plate ICD 10 coding. We’ve covered what the pterygoid plate is, why nailing these codes is so darn important for billing and patient records, and how to navigate the ICD-10-CM system to find the most accurate codes. Remember, pterygoid plate fractures often fall under broader facial bone fracture categories, like S02.8, but the key is always to code to the highest level of specificity documented by the provider. We’ve also highlighted the importance of considering associated injuries, the type of fracture (open/closed, displaced/non-displaced), and the external causes of the injury. The takeaway message here is simple: thorough and clear clinical documentation is absolutely essential . Without it, even the most experienced coder will struggle to assign the correct ICD-10 codes. If you’re a healthcare provider, take the time to document precisely. If you’re a coder, don’t hesitate to query physicians for clarification when needed. By working together and mastering these specific coding nuances, we can ensure accurate billing, maintain robust patient records, and ultimately contribute to better patient care and outcomes. Keep up the great work, and happy coding!